关注我们

󰄢

咨询热线

󰄢
哈尔滨普瑞眼科医院首页> 普瑞新闻> 糖尿病盯上“眼底”,警惕这些致盲隐患!

糖尿病盯上“眼底”,警惕这些致盲隐患!

时间:2026-04-24 在线预约 咨询专家

糖尿病不仅伤血管,更会悄悄“侵蚀”眼底,引发多种眼底疾病,很多糖友早期无症状,发现时已到中晚期,追悔莫及。

糖尿病眼底病变可防、可控、可治,早筛查、早干预是保住视力的关键。

两个真实案例,警惕眼底“隐形杀手”

案例一:52岁糖友忽视筛查,右眼险些致盲

52岁的王大叔患II型糖尿病10年,平时只吃药控血糖,从没查过眼底。半年前,他看东西偶尔模糊,以为是老花眼,没当回事。直到上个月,右眼突然出现大片黑影,视力骤降到只能看清手指晃动,才急忙就医。

(手术前)

(手术后)

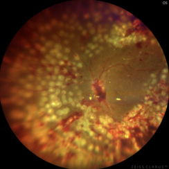
经哈尔滨普瑞眼科眼底病科张小宇主任为其详细检测,确诊为增殖期糖尿病视网膜病变,伴随玻璃体积血、黄斑水肿,属于晚期重症。张小宇主任立即制定方案:先注射抗VEGF药物控制新生血管,再实施27G玻璃体切除术。术后王大叔视力恢复到0.4,他后怕地说:“要是早来普瑞查眼底,也不至于遭这么大罪!”

案例二:60岁阿姨定期筛查,规避致盲风险

60岁的张阿姨患糖尿病8年,每年都坚持到哈尔滨普瑞眼科做眼底筛查。去年检测时,张小宇主任发现她有轻度非增殖期糖尿病视网膜病变,伴随轻微黄斑水肿。

张小宇主任为其制定个性化方案:严格控糖+口服改善微循环药物+定期激光光凝封闭渗漏血管。一年来,张阿姨坚持复查,病情有效控制,视力稳定在0.8,没有进一步发展。她常说:“普瑞眼科的专家负责、设备先进,每年查眼底,我特别放心!”

糖尿病易引发这些眼底疾病,早认清早预防

1.糖尿病视网膜病变(十分常见):分非增殖期(早期,微血管瘤、出血、渗出)和增殖期(晚期,新生血管、玻璃体积血、视网膜脱离,可致盲);

2.黄斑水肿:视网膜黄斑区积液,视物变形、视力骤降;

3.玻璃体积血:新生血管破裂出血,遮挡视线,严重时引发视网膜脱离;

4.视神经病变:损伤视神经,导致视力下降、视野缺损。

预防+

科学预防,筑牢“视力防线”

1.严控血糖血压血脂:空腹血糖4.4-7.0mmol/L,餐后2小时<10mmol/L,糖化血红蛋白<7%;血压<130/80mmHg,低脂饮食;

2.定期眼底筛查:II型糖尿病确诊后立即查眼底,每年1次;已病变者每3-6个月复查;

3.警惕早期信号:视物模糊、眼前黑影、视物变形、视力骤降,立即就医。

有效疗,普瑞眼科“硬核”实力

-早期/中期:眼底激光光凝术封闭渗漏血管,口服药物改善微循环,门诊完成;

-中晚期:眼内注射抗VEGF药物,消退黄斑水肿、抑制新生血管,微痛;

-晚期重症:27G玻璃体切除术,切口仅0.4mm,清除积血、修复视网膜,恢复快、并发症少。

哈尔滨普瑞眼科是国家眼部疾病临床医学研究中心一站式玻璃体腔注药基地,配备德国蔡司OCT、27G玻璃体切除系统等专业设备,诊断有效率高。眼底病科张小宇主任深耕糖网病诊疗多年,临床经验丰富,擅长各类糖尿病眼底病变的个性化诊疗,专业*。

眼底病专科

哈尔滨普瑞眼科医院眼底病专科,是医院重点建设的核心专科之一,专注于视网膜、玻璃体、脉络膜及视神经等眼底疾病的精细化诊断与综合。科室致力于为糖尿病视网膜病变、黄斑变性、视网膜脱离、视网膜血管疾病、高度近视眼底病变、葡萄膜炎等各类复杂眼底病患者提供先进的医疗解决方案。专科引进了的诊疗设备,包括蔡司CLARUS 500眼底成像系统、光学相干断层扫描(OCT)、OCT血管成像(OCTA)及眼底荧光血管造影(FFA/ICGA)系统,为眼底病的早期发现、有效分期和评估提供了强大技术支撑。层面,科室多方面开展玻璃体切割显微手术、视网膜脱离FCB植入术、后巩膜加固术、抗VEGF药物眼内注射、眼底激光光凝等核心技术,尤其在玻切手术、黄斑裂孔及黄斑前膜手术、复杂视网膜脱离复位手术方面拥有丰富的临床经验。科室由资深眼底病专家团队*,坚持“早发现、早干预、个性化”的诊疗原则,依托多模态影像评估,为每位患者制定科学、序贯的个体化方案,旨在**程度挽救和提升患者的视功能,守护“眼底的视界”。

眼底病专科

哈尔滨普瑞眼科医院眼底病专科,是医院重点建设的核心专科之一,专注于视网膜、玻璃体、脉络膜及视神经等眼底疾病的精细化诊断与综合。科室致力于为糖尿病视网膜病变、黄斑变性、视网膜脱离、视网膜血管疾病、高度近视眼底病变、葡萄膜炎等各类复杂眼底病患者提供先进的医疗解决方案。专科引进了的诊疗设备,包括蔡司CLARUS 500眼底成像系统、光学相干断层扫描(OCT)、OCT血管成像(OCTA)及眼底荧光血管造影(FFA/ICGA)系统,为眼底病的早期发现、有效分期和评估提供了强大技术支撑。层面,科室多方面开展玻璃体切割显微手术、视网膜脱离FCB植入术、后巩膜加固术、抗VEGF药物眼内注射、眼底激光光凝等核心技术,尤其在玻切手术、黄斑裂孔及黄斑前膜手术、复杂视网膜脱离复位手术方面拥有丰富的临床经验。科室由资深眼底病专家团队*,坚持“早发现、早干预、个性化”的诊疗原则,依托多模态影像评估,为每位患者制定科学、序贯的个体化方案,旨在**程度挽救和提升患者的视功能,守护“眼底的视界”。

哈尔滨普瑞眼科眼底病专科滕岩院长:

东北*早开展现代玻璃体视网膜手术的专家之一,获全国玻璃体手术“新星奖”。近30年累积眼底玻璃体手术约3万例。发表核心期刊以上论文60余篇。参编全国高等学校普通高等教育、研究生及8年制及7年制医学规划教材4部。

擅长:、复杂、高难度白内障及眼底手术,尤其在糖尿病视网膜病变、复杂性视网膜脱离、严重眼外伤领域经验突出。

哈尔滨普瑞眼科眼底病专科张小宇主任:

哈尔滨医科大学本硕连读七年制毕业,在哈医大二院工作十六年,并先后在北京同仁医院及北京宣武医院研修,临床经验丰富。发表SCI收录论文6篇,主持省部级课题3项,获得授权3项。

擅长:复杂眼底病、白内障、眼整形等各类疑难眼病的诊断与。

哈尔滨普瑞眼科眼底病专科张萍主任:

毕业于哈尔滨医科大学,眼科学硕士,曾于北京同仁医院及北京首都医科大学附属友谊医院进修学习。从事眼科临床工作十余年。

擅长:眼底病,眼外伤,青光眼,白内障和眼表疾病的诊断及手术。

相关文章
> 糖尿病盯上“眼底”,警惕这些致盲隐患!
> 什么?做完白内障不用戴眼镜,也太爽了吧!
> 主流术式怎么选?为什么学生更适合SMILE Pro?
热点文章
> 【风暴价】近视手术2016暑假大回馈
> 白内障手术进入个性化时代 蔡司AT LISA 909M晶体为您德国定制
> 【直播show】10分钟告别1500度近视