关注我们

󰄢

咨询热线

󰄢
哈尔滨普瑞眼科医院首页> 普瑞新闻> 眼角流脓、红肿、疼?警惕春季高发的泪囊炎

眼角流脓、红肿、疼?警惕春季高发的泪囊炎

时间:2026-04-07 在线预约 咨询专家

春风渐暖,风沙、花粉随风飘散,不仅容易引发过敏,还让一种容易被忽视的眼病悄悄高发——泪囊炎。

很多人出现眼角红肿、流脓、疼痛时,总误以为是“上火”“麦粒肿”,随便滴点眼药水应付,却不知这可能是泪囊炎的信号,拖延下去不仅会加重不适,还可能引发更严重的眼部问题。今天,就和大家好好聊聊春季高发的泪囊炎,教大家认清症状、找对诊疗方法,安心守护眼部健康。

春季多风干燥,空气中的风沙、花粉等异物容易进入泪道,堵塞泪小管或鼻泪管;同时气温波动大,人体眼部抵抗力下降,细菌容易侵入泪囊,引发炎症,尤其是本身有泪道狭窄、慢性结膜炎的人群,患病风险会大幅增加。

先认清:泪囊炎的典型症状,别再当成“上火”

泪囊炎主要分为急性和慢性两种,症状各有侧重,但都有明显的“信号”,大家对照自查,发现异常及时警惕,避免误诊误治:

急性泪囊炎:发病较急,典型症状就是眼角突发红肿、剧烈疼痛,按压眼角时疼痛会明显加重,甚至会摸到一个硬结,严重时眼睑会跟着肿胀,睁眼都受影响;同时眼角会有脓性分泌物溢出,擦完又会很快出现,部分患者还会伴有耳前淋巴结肿大、轻微发热等全身不适,这也是很容易被当成“上火”的类型。

慢性泪囊炎则多为急性发作后拖延所致,症状相对缓和但更顽固:主要表现为长期无故溢泪,眼睛总是“眼泪汪汪”,眼角经常有黏液或脓性分泌物,早上起床时睫毛会被分泌物粘住,难以睁开;长期流泪还会刺激眼睑皮肤,导致眼角皮肤发红、粗糙,甚至出现湿疹,很多患者会误以为是“结膜炎”,盲目用药却始终不见好转。

找对方法:泪囊炎的科学诊疗,早治少遭罪

泪囊炎是围绕“控制炎症、疏通泪道”来诊疗的,具体方案需根据病情轻重、类型来制定,从保守诊疗到手术,全程兼顾效果与舒适度,无需过度担心:

对于症状较轻的慢性泪囊炎,初期可通过泪道冲洗、局部使用滴眼液等保守诊疗,清除泪囊内的分泌物,控制炎症,同时缓解泪道阻塞,多数轻症患者通过规范的保守诊疗就能明显好转。

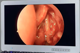
如果保守诊疗无效,或已经发展为急性泪囊炎,出现明显红肿、流脓、疼痛,就需要通过手术诊疗,疏通泪道、清除感染病灶,从根源上解决问题。目前常用的内镜下泪囊鼻腔吻合术,属于术式,无需在面部开刀,创伤小、恢复快,术后无明显疤痕,能快速性打通泪道,减少反复可能,相比传统手术,患者体验感大幅提升。

很多患者一提到手术就紧张、害怕,其实只要找对专业的医生,手术过程温和、有效,不适感低。在临床诊疗中,经常会遇到患者因为害怕手术拖延病情,直到眼角流脓加重、影响视力才来就诊,不仅增加了诊疗难度,也多承受了不必要的痛苦。

温柔守护:专业诊疗,让泪囊炎患者少走弯路

在泪囊炎的诊疗中,医生的经验和耐心尤为重要,既要有效判断病情、制定个性化方案,也要缓解患者的紧张情绪。哈尔滨普瑞眼科干眼泪道专科王鹤主任,对此有着深刻的理解,她始终秉持“有效诊疗、温和施治”的理念,把患者的感受放在首位,就像守护眼睛的“暖心卫士”。

王鹤主任深耕泪道疾病领域数十年,对急性、慢性泪囊炎,以及合并泪小管炎、泪道结石等复杂情况,都有着丰富的临床经验,根据患者的年龄、病情轻重,制定适合的诊疗方案。接诊时,她总会耐心倾听患者的困扰,细致解答每一个疑问,缓解患者的紧张和焦虑,哪怕是对手术充满恐惧的患者,也能在她的温柔引导下放下顾虑。

春季护眼提醒:早发现、早诊疗,守护明亮双眼

春季泪囊炎高发,大家一定要做好预防和自查,出现眼角红肿、流脓、疼痛、长期溢泪等症状,别再当成“上火”硬扛,切勿盲目用药,及时到专业眼科就诊,明确诊断后规范诊疗。

如果你的眼角正遭受红肿、流脓、疼痛的困扰,不妨来哈尔滨普瑞眼科找王鹤主任进行专业诊疗。温柔的问诊、有效的诊疗、贴心的护理,会帮你摆脱泪囊炎的折磨,安心重拾清晰、舒适的眼部状态,享受春日的美好。

泪道专科

哈尔滨普瑞眼科医院泪道专科,是医院重点发展的特色专科,专注于泪道系统各类疾病的诊断、及功能重建。专科集临床诊疗、技术研究与专病管理于一体,致力于为泪道阻塞、急慢性泪囊炎、新生儿泪囊炎、泪道外伤及眼表泪液动力学异常患者提供系统化、有效化的解决方案。专科配备先进的泪道内窥镜系统等现代化诊疗设备,实现泪道疾病的直视化、有效化诊断。层面,多方面成熟开展 鼻内窥镜下泪囊鼻腔吻合术()、泪道激光成形术、泪道置管术、新生儿泪囊炎探通及按摩等核心特色技术。尤其在鼻内窥镜手术方面具有显著优势,避免了面部皮肤切口,实现了无疤痕、恢复快、率高、并发症少的治果。专科由资深泪道疾病专家*,拥有具备高级职称的专业医疗团队,遵循“功能与美学并重”的理念,依托精细化的术前评估与个体化的手术设计,为不同年龄与病情的患者提供从保守到手术的全序列方案,旨在高效解除患者溢泪、流脓等痛苦,恢复泪道生理功能。

哈尔滨普瑞眼科干眼泪道专科王鹤主任:

毕业于哈尔滨医科大学,从事眼耳鼻喉科工作10余年。擅长干眼症、角膜炎、眼外伤及泪道疾病的诊断与,鼻内窥镜下泪囊鼻腔造孔术、急慢性泪囊炎、泪道阻塞,泪小管断裂吻合联合泪道引流管植入术。各类新生儿、婴幼儿先天性泪道阻塞、泪囊炎、泪囊囊肿。曾在眼科杂志发布发表多篇论文。

相关文章
> 50000例光明里程碑护航学子逐梦前行
> 哪种近视手术更安心、恢复更快?专业医生为你拆解
> 四月儿童护眼提醒:这5种眼病进入高发期,家长务必警惕
热点文章
> 【风暴价】近视手术2016暑假大回馈
> 白内障手术进入个性化时代 蔡司AT LISA 909M晶体为您德国定制
> 【直播show】10分钟告别1500度近视